Брой 2/2016
Доц. Д-р А. Буева, д. м.
СБАЛДБ ”Лисичкова”, Варна
От 1-ви януари 2013 год. в пакета за профилактични дейности в педиатрията беше включено ехографското изследване на отделителната система със Заповед на Министъра на здравеопазването /Фиг. №1/.

Фиг. №1. Държавен вестник 100 от 15.12.2012 и частта в него за профилактичните прегледи в детска възраст, включваща „ехографското изследване на отделителната система еднократно на 6-месечна възраст”.
Предложението за задължителен ехографски преглед на отделителна система до МЗ и НЗОК направих на базата на получените резултати от проведения под мое ръководство „Скрининг за скрита бъбречна заболеваемост в детска възраст у нас”. Предложението е направено именно след обработените данни и получените резултати от този скрининг. Те показаха висока честота на вродените, но неизявени клинично аномалии на отделителната система.
От табл. № 1 се вижда броя на здравите прегледани от нашият екип деца в различни градове в България. Скринингът е осъществен безплатно и само след подписано информирано съгласие от родителите.
Табл. №1. Брой на прегледаните български деца в различните градове при проведения от 2010 до 2013 год. „Скрининг за скрита бъбречна заболеваемост в детска възраст в България”.
На табл. № 2 се вижда очаквания ориентировъчен брой на аномалиите на отделителната система у нас, изчислен на базата честотата на установените от скрининга отклонения в УЗ /ултразвуковия образ /на бъбреците и пикочния мехур. За база на това изчисление използвахме общия брой на децата в България при последното преброяване, който е 1 200 000.
Табл. № 2. Ориентировъчен брой на неизявени съществени аномалии на отделителната система при българските деца.
Ето защо заключението от направения скрининг беше, че за бъбречното здраве на българските деца е много важно провеждането на профилактичен ехографски преглед на отделителната система на кърмачетата. Убедена съм, че това е голямо постижение и привилегия за нашите деца и е изключително важен момент за подобряване на бъбречното здраве на децата и населението на страната ни.
Основната цел на този преглед е ранното откриване на вродените аномалии на бъбреците и пикочния мехур, преди тяхната клинична изява. В тези случи адекватно положените грижи за децата с вродени аномалии на отделителната система увеличават шанса им за по-добър живот.
Може би въвеждането на този този профилактичен преглед завари неподготвено медицинското общество в България по въпроса КАК ДА СЕ ПОСТЪПВА ПРИ УСТАНОВЯВАНЕ НА ОТКЛОНЕНИЕ В УЗ ОБРАЗ НА ОТДЕЛИТЕЛНАТА СИСТЕМА ПРИ ДЕЦА БЕЗ ДРУГИ ОТКЛОНЕНИЯ В ЗДРАВОСЛОВНОТО СЪСТОЯНИЕ.
Ето защо е необходимо да се внесе яснота по въпроса кой е най-полезния за детето подход при установяване на отклонения в образа на бъбреците. Аз смятам, че за това е Е НЕОБХОДИМО НАЙ-ВЕЧЕ ДА СЕ ИНФОРМИРАТ НАЙ-БЛИЗКИТЕ ДО СЕМЕЙСТВАТА ЛЕКАРИ – ОБЩОПРАКТИКУВАЩИ И ПЕДИАТРИ. Убедена съм, че първия съвет родителите ще получат именно от лекарите до тях.
Какво трябва да се направи, ако се установи съществено отклонение в УЗ образ /Табл. 2/ на отделителната система на кърмачетата? Важно за тези кърмачета е да бъдат насочени към педиатър и детски нефролог за преценка състоянието на отделителната система и професионално проследяване.
Особено внимание и задълбочена дискусия е необходима при вземането на решение за допълнителни визуализиращи изследвания на отделителната система. В тези случаи трябва задължително да се имат предвид редица обстоятелства – наличието или отсъствието до момента на установяването аномалията на ИПП / инфекции на пикочните пътища/или данни за отклонения в УЗ образ на отделителната система от феталната морфология.
Винаги се предпочита и препоръчва проследяване състоянието на детето и на отклоненията в ултразвуковия образ преди да се вземе решение за допълнителни образни изследвания.
За щастие, съвременната медицина и специално педиатрията разполага с прецизните възможности на щадящия ехографски метод за изобразяване на отделителната система. Само в случаите, в които той е изчерпал възможностите си се налага да се провеждат допълнителни визуализиращи методи.
Естествено, че клиничното наблюдение е изключително важно – наличие на температура, намален апетит и незадоволителна тегловна крива, патологичен уринен седимент и сигнификантна бактериурия.
Освен съществените аномалии при УЗ оглед на отделителната система задължително трябва да се разграничават и специално внимание заслужават установените „малки отклонения” в УЗ образ на бъбреците и най-вече пиелектазията.
При огромна част от лекарите, диагностицирали несъщественото отклонение /пиелектазия/ в образа на отделителната система при кърмачетата, първата реакция е желание незабавно да уточнят състоянието с отдавна познатите методи – фаворити преди ерата на УЗ изследване в медицината, а именно рентгеноконтрастните изследвания – екскреторна урография и микционна цистография.


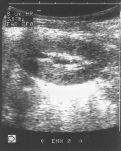
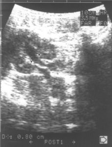
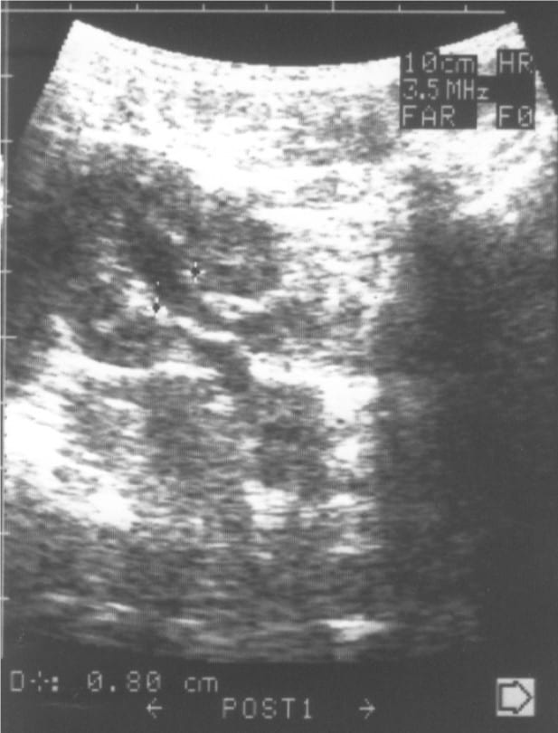
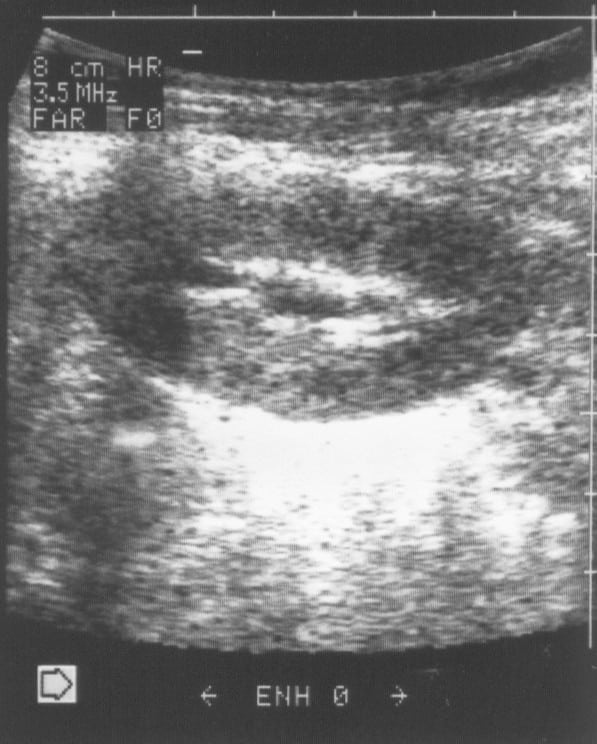
Фиг. 2. а/ – Пиелектазия – незначително отслояване на стените на бъбречното легенче, надлъжен срез и б/ Пиелектазия – напречен разрез на легенчето с предно-заден размер на дилатацията до 5 мм.
Специално прилагам УЗ образ /Фиг.2/ на това установено в УЗ образ на бъбреците при кърмачета отклонение, защото то е често срещано, но много рядко налага допълнителни изследвания.
Поради това искам да обърна внимание на различните параметри, които предлага УЗ образа и богатата информация, която можем да получим от УЗ изследване на отделителната система, а именно:
1. разположение на бъбреците,
2. форма и размери на бъбреците в абсолютна стойност,
3. еднакви ли са двата бъбрека,
4. диференция на паренхима,
5. размер на паренхима,
6. ехогенност на паренхима,
7. наличие на микрокисти в бъбречния паренхим,
8. ясна ли е границата пиелон/паренхим,
9. гладка ли е повърхността на бъбреците,
10. наличие на урина в пиелона и задължителния предно-заден размер /ПЗР/ на дилатацията
11. увеличени каликси,
12. състояние на уретерите,
13. обем на пикочния мехур,
14. гладкост и дебелина на стената на пик. мехур,
15. обем на остатъчна урина.
И когато от всичките посочени петнадесет УЗ параметъра отклонение има само в един /малко количество урина в пиелона – пиелектазия/ при здраво кърмаче без данни за уроинфекция, изпратено на профилактичен преглед, НЯМА ПОКАЗАНИЯ ЗА ПРОВЕЖДАНЕ НА ДОПЪЛНИТЕЛНИ ИЗСЛЕДВАНИЯ – МИКЦИОННА ЦИСТОГРАФИЯ „ЗА ДА ВИДИМ ДАЛИ НЕ СЕ ВРЪЩА УРИНА„.
Естествено, при тези деца, както при всяко кърмаче, трябва да се проследява здравословното състояние и особено наличието на ИПП.
Периодично да се проследява с УЗ установеното отклонение. Естествено, че когато се налага се използват и останалите изобразителни методи.
Особено внимание ще отделя това най-често „малко” отклонение с наличие на незначително количество урина в пиелона – пиелектазия /Фиг.2/.

